Shoulder Pain & Rotator Cuff Injuries

Clear answers for shoulder pain using diagnostic ultrasound and precision-guided treatment — no guessing, no unnecessary delays.

Who This Is For

Shoulder pain is common in active adults — especially those who lift, train overhead, or have a history of old injuries that never fully healed.

We commonly see:

  • Chronic shoulder pain that lingers despite rest or exercise
  • Pain with pressing, pulling, or overhead movements
  • Stiffness, weakness, or loss of confidence in the shoulder
  • Old injuries that were never formally evaluated
  • Shoulder pain that failed physical therapy alone

Many patients who come to us have already tried exercise, load modification, or rehab — and are looking for answers about what’s actually going on

Physician performing diagnostic ultrasound for shoulder pain and rotator cuff injury assessment in Tacoma

Not All Shoulder Pain Is the Same

“Shoulder pain” can come from multiple structures — and symptoms often overlap.

Without imaging, it’s easy to miss:

  • Tendon injury vs inflammation
  • Partial tears vs overload
  • Bursitis vs rotator cuff pathology
  • Capsular restriction vs true weakness

That’s why we start with diagnostic ultrasound.

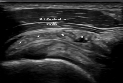
Dynamic shoulder ultrasound exam showing acute bursitis with rotator cuff tear in active adult

Using real-time musculoskeletal ultrasound, we evaluate for:

Rotator cuff pathology

  • Supraspinatus tendinopathy or tears
  • Infraspinatus involvement
  • Subscapularis pathology
  • Partial-thickness and select full-thickness tears
  • Calcific tendinitis

Other common shoulder findings

  • Subacromial bursitis
  • Long head of biceps tendinopathy or instability
  • AC joint degeneration
  • Glenohumeral joint effusion
  • Adhesive capsulitis (frozen shoulder) features
  • Load-related tendon changes in overhead athletes

Ultrasound allows us to see the injury directly, assess it dynamically, and compare to the opposite side when needed

Sports medicine physician explaining ultrasound-guided treatment plan to patient

Why Imaging Comes First

Every shoulder evaluation begins with diagnostic ultrasound paired with your functional complaints.

This allows us to:

  • Identify exactly which structure is injured
  • Confirm whether pain is inflammatory, degenerative, or structural
  • Avoid guesswork
  • Match treatment to the actual pathology

Ultrasound also allows us to move seamlessly into ultrasound-guided treatment when appropriate.

Musculoskeletal ultrasound image showing rotator cuff tendon injury

Treatment is individualized based on:

  • Ultrasound findings
  • Your symptoms and movement limitations
  • Training demands and goals

Common treatment options include:

Corticosteroid injections

  • Subacromial bursitis
  • Adhesive capsulitis
  • Significant pain or inflammation limiting rehab

PRP (Platelet-Rich Plasma)

  • Chronic rotator cuff tendinopathy
  • Partial tendon tears
  • Pain unresponsive to other conservative treatments

Hydrodilatation

  • Adhesive capsulitis (frozen shoulder)
  • Capsular restriction with loss of motion

All injections are performed using real-time ultrasound guidance to ensure precise placement into the area of pathology.

Ultrasound-guided shoulder injection targeting rotator cuff and subacromial pathology

Shoulder pain rarely exists in isolation.

After image-guided procedures, we often use:

These are used to:

  • Modulate pain
  • Reduce excessive tone
  • Improve movement quality
  • Address surrounding restrictions contributing to shoulder overload

These techniques support recovery by helping the shoulder move better, not just feel better.

Dry needling used to reduce muscle tension and improve shoulder movement after injury
  1. Review of your history and training demands
  2. Focused physical exam
  3. Diagnostic shoulder ultrasound (dynamic and comparative when needed)
  4. Clear explanation of findings
  5. Same-day treatment options when appropriate
  6. Guidance on next steps for activity and recovery

Patients leave with clarity, not just recommendations.

Cupping therapy used to address soft tissue restrictions surrounding shoulder injury

Ready to Stop Guessing About Your Shoulder Pain?

If you’re dealing with chronic shoulder pain, limited progress, or uncertainty about what’s actually injured, diagnostic ultrasound can provide answers — and a clear path forward.