Knee Pain & Tendon Injuries

Get clear answers for knee pain using diagnostic ultrasound and precision-guided treatment — so you can move forward with confidence.

Who This Is For

Knee pain is one of the most common reasons active adults seek care — especially those who lift, run, jump, squat, or have a history of old injuries that never fully resolved.

We frequently see patients with:

  • Chronic knee pain that flares with training
  • Pain with squatting, stairs, or running
  • Anterior knee pain that hasn’t improved with rehab
  • Tendon pain that lingers for months or years
  • Old knee injuries that were never formally evaluated
  • Knee pain that failed physical therapy alone

Many patients have already tried exercise, load modification, or rehab before coming in — and want clarity on what’s actually injured.

Physician performing diagnostic ultrasound for knee pain and tendon injury assessment in Tacoma

Knee Pain Isn’t One Diagnosis

The knee is a complex joint, and pain can originate from:

  • Tendons
  • Bursa
  • Joint surfaces
  • Ligaments
  • Surrounding soft tissue overload

Symptoms alone don’t reliably tell us which structure is responsible — which is why guessing often leads to stalled progress.

This is where diagnostic ultrasound changes everything.

Dynamic knee ultrasound exam comparing injured and non-injured tendon tissue

What We Commonly See on Knee Ultrasound

Using real-time musculoskeletal ultrasound, we commonly evaluate for:

Tendon pathology

  • Patellar tendinopathy
  • Quadriceps tendinopathy
  • Partial tendon tears
  • Chronic degenerative tendon changes

Other common knee findings

  • Prepatellar or infrapatellar bursitis
  • Joint effusions
  • Ligament-related irritation
  • Post-surgical or post-injury scar tissue
  • Arthritis
  • Medial or lateral meniscus tears
  • Load-related tendon changes in active adults

Ultrasound allows us to visualize the tendon and surrounding structures, perform dynamic exams, and compare findings to the opposite side when needed.

Ultrasound-guided knee injection precisely targeting tendon and joint pathology

Imaging That Guides the Plan

Every knee evaluation begins with diagnostic ultrasound paired with your functional complaints.

This allows us to:

  • Identify the exact tissue involved
  • Distinguish inflammation from chronic degeneration
  • Avoid unnecessary imaging or referrals
  • Match treatment to the specific pathology

Ultrasound also allows for same-day ultrasound-guided treatment when appropriate.

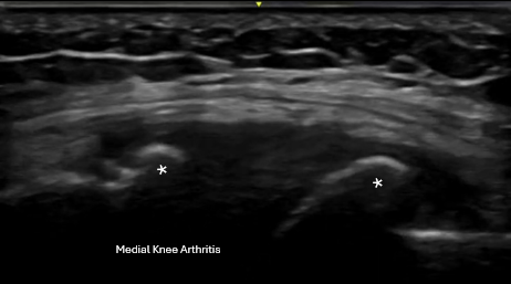
Real-time musculoskeletal ultrasound image showing arthritis of the knee

Targeted, Image-Guided Knee Treatment

Treatment is based on:

  • Ultrasound findings
  • Severity and chronicity of symptoms
  • Training demands and goals

Common treatment options include:

Corticosteroid injections

  • Bursitis
  • Significant inflammation
  • Pain limiting rehab or daily activity

PRP (Platelet-Rich Plasma)

  • Chronic patellar or quadriceps tendinopathy
  • Partial tendon tears
  • Knee arthritis
  • Pain unresponsive to other conservative treatments

All injections are performed using real-time ultrasound guidance to ensure precise placement into the area of pathology

Physician performing ultrasound-guided injection for sports injury treatment in Tacoma

Addressing Surrounding Tissue Restrictions

Knee pain often leads to compensatory tightness and altered movement patterns.

After image-guided procedures, we may incorporate:

These are used to:

  • Modulate pain
  • Reduce excessive muscle tone
  • Improve movement quality
  • Address surrounding soft tissue restrictions contributing to knee overload

These treatments support functional recovery, not just symptom relief.

Dry needling used to reduce muscle tension and improve shoulder movement after injury

Your Knee Evaluation Appointment

  1. Review of injury history and activity demands
  2. Focused knee exam
  3. Diagnostic knee ultrasound (dynamic and comparative when needed)
  4. Clear explanation of findings
  5. Same-day treatment options when appropriate
  6. Guidance on next steps for activity and recovery

Patients leave with answers and a plan, not uncertainty.

Dry needling used to reduce muscle tension and improve knee movement after injury

Ready to Get Answers for Your Knee Pain?

If knee pain is limiting your training or daily life — and you’re tired of guessing — diagnostic ultrasound can provide clarity and direction.