Achilles, Ankle & Plantar Fascia Pain

Clear answers for heel, achilles, and ankle pain using diagnostic ultrasound and precision-guided treatment — so you can return to movement confidently.

Who This Is For

Achilles, ankle, and heel pain are extremely common in:

  • Runners
  • Lifters
  • Jumping athletes
  • Field sport athletes
  • Active adults increasing training volume
  • Adults with old ankle sprains that never fully healed

We frequently see patients with:

  • Chronic Achilles pain lasting months or years
  • Heel pain with first steps in the morning
  • Pain with running or pushing off
  • Recurrent ankle instability
  • Persistent plantar fascia pain despite stretching
  • Failed physical therapy alone

Many patients have already tried rest, rehab, inserts, or load modification — and want to know what tissue is actually injured.

Physician performing diagnostic ultrasound for Ankle and plantar fascia pain in Tacoma

Not All Heel Pain Is the Same

Pain in the back or bottom of the heel may come from:

  • Mid-substance Achilles tendinopathy
  • Insertional Achilles tendinopathy
  • Partial Achilles tears
  • Retrocalcaneal bursitis
  • Plantar fasciitis / plantar fasciopathy
  • Partial plantar fascia tears
  • Ankle joint or tendon pathology
  • Scar tissue after previous sprains

Symptoms overlap. Without imaging, treatment often becomes generalized rather than targeted.

This is why we begin with diagnostic ultrasound.

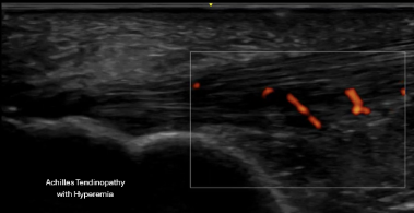
Diagnostic ultrasound evaluation of mid-portion Achilles tendinopathy with hyperemia

Achilles, Ankle & Plantar Conditions We Diagnose

Using real-time musculoskeletal ultrasound, we evaluate:

Achilles Pathology

  • Mid-portion tendinopathy
  • Insertional tendinopathy
  • Partial thickness tears
  • Fat pad impingement
  • Achilles bursitis
  • Chronic degenerative tendon changes

Plantar Fascia Pathology

  • Plantar fasciitis / fasciopathy
  • Thickened or degenerative plantar fascia
  • Partial plantar fascia tears
  • Heel spur-related irritation
  • Morton’s neuroma

Ankle Pathology

  • Joint effusion
  • Ankle instability
  • Ligament partial or complete tears
  • Peroneal tendon pathology
  • Posterior tibial tendon dysfunction
  • Post-sprain scar tissue
  • Ganglion cysts
  • Tibial nerve compression

Ultrasound allows us to:

  • Directly visualize tissue structure
  • Perform dynamic evaluation during movement
  • Compare side to side
  • Correlate imaging with symptoms in real time

You leave knowing exactly what is involved — not just a generic diagnosis of “heel pain.”

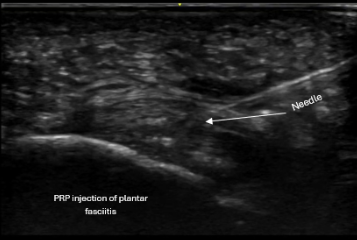
Ultrasound-guided PRP injection targeting plantar fascia pathology

Diagnostic Clarity Changes the Plan

Every evaluation begins with ultrasound paired with your functional complaints.

This allows us to:

  • Distinguish inflammation from chronic degeneration
  • Identify partial tearing
  • Avoid unnecessary imaging
  • Determine whether injection-based treatment is appropriate

Ultrasound also allows seamless transition into ultrasound-guided procedures when needed.

Musculoskeletal ultrasound assessment of ankle joint and peroneal tendons

Treatment is individualized based on:

  • Ultrasound findings
  • Duration of symptoms
  • Severity of degeneration
  • Training demands and goals

Corticosteroid Injections

Used selectively for:

  • Retrocalcaneal bursitis
  • Tenosynovitis
  • Morton’s neuroma’s
  • Fat pad impingement
  • Severe inflammatory cases
  • Pain significantly limiting function
    Treatment Options

PRP (Platelet-Rich Plasma) (link to PRP page)

Often considered for:

  • Chronic Achilles tendinopathy
  • Partial tendon tears
  • Chronic plantar fasciopathy
  • Pain unresponsive to conservative care

All injections are performed using real-time ultrasound guidance to ensure precise placement into the area of pathology while protecting surrounding structures.

Cupping used to improve calf mobility and support recovery from Achilles pain

Addressing Surrounding Tissue Restrictions

Chronic Achilles and plantar fascia pain often involve:

  • Calf tightness
  • Soleus overload
  • Fascial restriction
  • Compensatory ankle stiffness

After image-guided procedures, we may incorporate:

These are used to:

  • Modulate pain
  • Improve tissue mobility
  • Reduce compensatory tension
  • Support better movement mechanics

The goal is not just pain relief — but durable function and confident return to activity.

Cupping used to improve calf mobility and support recovery from Achilles pain

Your Achilles, Ankle & Heel Evaluation

  1. Review of injury and training history
  2. Focused lower extremity exam
  3. Diagnostic ultrasound (dynamic and comparative when needed)
  4. Clear explanation of findings
  5. Same-day treatment options when appropriate
  6. Guidance on return to activity

Patients leave with clarity and a structured plan.

Ultrasound imaging of plantar fascia thickening causing chronic heel pain

Ready to Stop Guessing About Your Heel Pain?

If Achilles, ankle, or plantar fascia pain is limiting your training or daily life, diagnostic ultrasound can provide answers — and a clear path forward.